يعد الحمل العنقودي من الحالات النادرة التي قد تحدث في بدايات الحمل وهو اضطراب ينشأ نتيجة خلل في عملية الإخصاب يؤدي إلى نمو غير طبيعي في المشيمة بدلاً من نمو جنين سليم في الرحم، ويتميز هذا النوع من الحمل بتكون أنسجة غير طبيعية تشبه عنقود العنب، وقد يرافقه أعراض غير معتادة مثل النزيف وآلام البطن وارتفاع نسبة هرمون الحمل بشكل غير طبيعي، ويحتاج إلى تشخيص دقيق وتدخل طبي سريع لتفادي أي مضاعفات خطيرة، وفي هذا المقال سوف نسرد أسباب هذا الحمل وأنواعه وأعراضه وطرق التعامل معه بشكل واضح.
ما هو الحمل العنقودي
الحمل العنقودي هو نوع غير طبيعي من الحمل، ويعرف أيضًا بأنه ورم حميد أو غير سرطاني يحدث داخل الرحم، ويبدأ تكونه من تكاثر الخلايا التي كان من المفترض أن تشكل المشيمة لكن دون وجود جنين حقيقي أو مشيمة طبيعية، وفي هذا النوع من الحمل تتطور المشيمة إلى مجموعة من الحويصلات أو الأكياس بشكل غير طبيعي مما يؤدي إلى عدم تكوين حمل سليم.
ويطلق علىة أيضًا اسم “حمل العنب” بين عامة الناس وهو حالة نادرة ومختلفة تمامًا عن الحمل الطبيعي، وعادة ما يتم تشخيصه مبكرا ويحتاج إلى تدخل طبي لعلاجه حيث لا يمكن أن يستمر كحمل طبيعي.
انواع الحمل العنقودي
هذا الحمل ينقسم إلى نوعين رئيسيين، وفيما يلي نذكر معلومات تفصيلية عن كل نوع كالآتي:
- الحمل العنقودي الكامل: ويحدث عندما يتم تلقيح بويضة فارغة من الكروموسومات الأنثوية بواسطة حيوان منوي واحد أو حيوانين منويين، مما يؤدي إلى تكون أنسجة مشيمية غير طبيعية دون وجود أي أنسجة جنينية على الإطلاق، وفي هذا النوع لا يمكن تكون جنين سليم ويظهر الحمل كمجموعة من الحويصلات المتصلة ببعضها.
- الحمل العنقودي الجزئي: ويحدث عندما تتلقح بويضة طبيعية تحتوي على كروموسومات أنثوية بحيوان منوي يحتوي على كروموسوم واحد أو أكثر، مما يؤدي إلى وجود تركيب كروموسومي غير طبيعي (عادة 69 كروموسوم بدل من 46)، وفي هذا النوع قد يتكون جزء من المشيمة أو أجزاء من الجنين لكن الجنين عادة غير قابل للحياة.
اسباب الحمل العنقودي
الحمل العنقودي يحدث نتيجة خلل وراثي غير طبيعي أثناء عملية الإخصاب، وتختلف الأسباب باختلاف نوع الحمل ، وفيما يلي نذكر الأسباب بالتفصيل:
- الخلل الوراثي أثناء الإخصاب: في الحمل العنقودي الكامل يحدث عندما تتلقى بويضة فارغة تلقيح من حيوان منوي واحد أو حيوانين منويين، مما يؤدي إلى تكون أنسجة مشيمية دون أي أنسجة جنينية، وفي الحمل العنقودي الجزئي يحدث عندما تتلقى بويضة طبيعية تلقيح من حيوانين منويين، أو عندما يتضاعف الحمض النووي الذي يقدمه الحيوان المنوي.
- عوامل اجتماعية وبيئية: تشمل العوامل التي قد تزيد من خطر حدوث هذا الحمل مثل الحالة الاجتماعية والاقتصادية المنخفضة، وسوء التغذية، ونقص فيتامينات مثل حمض الفوليك والكاروتين.
- عمر الأم: النساء اللواتي تبلغ أعمارهن أكثر من 35 عام أو أقل من 20 عام يواجهن خطر متزايد لحدوث الحمل العنقودي، مع زيادة الخطر مع تقدم العمر.
- مشاكل في انقسام الكروموسومات: يحدث الحمل العنقودي نتيجة خلل في تصبيغ الكروموسومات المسؤولة عن تكوين المشيمة والجنين أثناء الانقسام الخلوي المبكر
تعرف على: حمل خارج الرحم قرار القدر غير المتوقع

ما هي فسيولوجيا الحمل العنقودي؟
فسيولوجيا الحمل العنقودي تتعلق بخلل في تصبيغ الكروموسومات المسؤولة عن تكوين المشيمة والجنين أثناء عملية الانقسام الخلوي المبكر، هذا الخلل يؤدي إلى نمو غير طبيعي لخلايا الأرومة المغذية وهي الخلايا التي يفترض أن تشكل المشيمة، وتتحول هذه الخلايا إلى أكياس أو حويصلات مملوءة بالسوائل تشبه عناقيد العنب دون وجود جنين حقيقي أو مشيمة طبيعية، هذا التغير الفسيولوجي يؤدي إلى عدم إمكانية استمرار الحمل بشكل طبيعي، ويحتاج إلى تدخل طبي لمنع المضاعفات خاصة أنه قد يتحول إلى حالة سرطانية في بعض الحالات.
أعراض الحمل العنقودي
الأعراض الشائعة للحمل العنقودي تختلف من حالة إلى أخرى، لكنها غالبا ما تظهر خلال الأسابيع الأولى من الحمل، ومن أهم الأعراض المرتبطة بالحمل العنقودي ما يلي:
- نزيف مهبلي: وهو أكثر الأعراض شيوعًا ويظهر عادة بعد انقطاع الدورة الشهرية، ويكون لون الدم غالبًا بني داكن وليس أحمر فاتح.
- تضخم الرحم: يظهر الرحم أكبر مما هو متوقع لعمر الحمل، ويرتبط بنمو سريع وغير طبيعي في حجم البطن.
- غثيان وقيء شديدان: أكثر من الحمل الطبيعي، وقد يؤدي إلى الجفاف واضطرابات في التغذية.
- غياب أعراض الحمل الطبيعية: مثل عدم الشعور بحركة الجنين أو عدم وجود نبض جنيني عند الفحص المبكر.
- أعراض هرمونية مثل فرط نشاط الغدة الدرقية: مثل تسارع ضربات القلب أو القلق أو فقدان الوزن غير المبرر.
- ارتفاع كبير في هرمون الحمل (Beta-HCG): ويكتشف ذلك عبر التحاليل المخبرية، حيث تكون مستويات الهرمون أعلى من المتوقعة في الحمل الطبيعي.
- ظهور كيسات عنقودية من المهبل: في بعض الحالات قد تخرج أكياس تشبه عناقيد العنب من الرحم.
- ارتفاع ضغط الدم وتسمم الحمل: خاصة إذا استمر الحمل لفترة أطول قليلاً، وقد يؤدي إلى مضاعفات صحية خطيرة.
طرق تشخيص الحمل العنقودي
طرق تشخيص الحمل العنقودي تشمل عدة إجراءات طبية تعتمد على الفحص بالأشعة والمختبر لتأكيد وجود هذا النوع غير الطبيعي من الحمل، ومن أهم الطرق ما يلي:
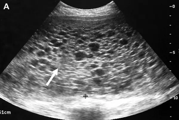
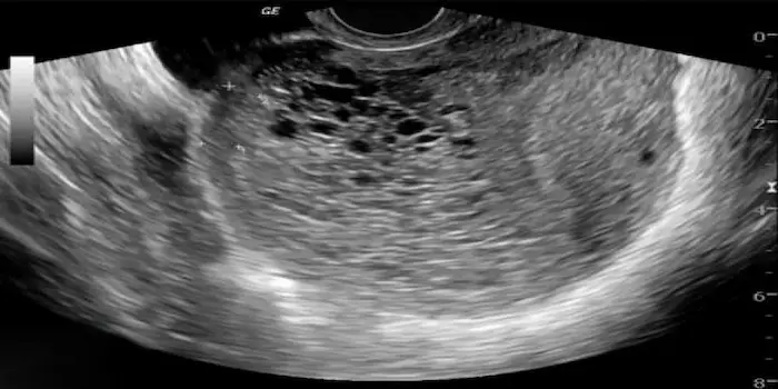
- الفحص بالموجات فوق الصوتية (السونار): يعتبر الطريقة الرئيسية لتشخيص الحمل العنقودي، حيث يظهر عبر الفحص عبر المهبل أو البطن مجموعة من الحويصلات داخل الرحم تشبه عناقيد العنب، وغالبًا لا يرى جنين أو كيس للسائل الأمنيوسي.
- تحليل الدم لقياس مستوى هرمون الحمل (HCG): يلاحظ ارتفاع غير طبيعي في مستويات هرمون HCG في الدم، وهو أعلى مما هو متوقع في عمر الحمل نفسه، مما يشير إلى احتمال وجود حمل عنقودي.
- الفحص النسيجي: يتم تأكيد التشخيص بشكل قاطع من خلال فحص الأنسجة التي يتم استئصالها بعد الإجهاض أو التوسع والكشط، حيث يمكن رؤية الخلايا المشيمية غير الطبيعية تحت المجهر.
- الكشف المصادف أثناء فحص روتيني للحمل: في بعض الحالات يكتشف الحمل العنقودي مصادفة عند الذهاب لإجراء تصوير بالموجات فوق الصوتية الروتيني لمتابعة الحمل.
كيفية علاج الحمل العنقودي
يتم علاج الحمل العنقودي عادة من خلال إجراءات جراحية لإزالة الأنسجة غير الطبيعية من الرحم، وقد يحتاج في بعض الحالات النادرة إلى العلاج الكيميائي أو متابعة دقيقة، ومن أهم طرق العلاج الرئيسية ما يلي:
- التوسيع والكحت (D&C): هو الإجراء الأكثر شيوعًا لعلاج الحمل العنقودي، ويتم فيه توسيع عنق الرحم وإزالة الأنسجة غير الطبيعية من الرحم باستخدام أدوات شفط أو كاشطات، هذا الإجراء فعال وعادة ما يستخدم في المراحل المبكرة.
- استئصال الرحم: في حالات نادرة وخاصة عند النساء اللواتي لا يرغبن في الحمل مستقبلًا أو إذا كان هناك خطر انتقال الحالة إلى سرطان قد يوصى باستئصال الرحم بالكامل.
- العلاج الكيميائي: يستخدم في حالات تحول الحمل العنقودي إلى حالة سرطانية أو وجود بقايا أنسجة مشيمية تستمر في النمو بعد إزالة الحمل ويعطى العلاج الكيميائي تحت مراقبة دقيقة.
- المتابعة الدقيقة لمستوى هرمون HCG: بعد العلاج يتم مراقبة مستوى هرمون الحمل (HCG) في الدم لضمان عدم بقاء أي أنسجة متبقية أو تحولها إلى ورم ليفي مشيمي.
- دعم طبي لتثبيت الحالة العامة: مثل معالجة ارتفاع ضغط الدم، ونقل الدم إن لزم الأمر، وتوفير الدعم الهرموني أو العلاجي المناسب.
أهم النصائح للتعايش مع الحمل العنقودي
التعايش مع الحمل العنقودي يتطلب اتباع مجموعة من النصائح الطبية لضمان التعافي الجيد والوقاية من المضاعفات المحتملة، سواء بعد التشخيص أو بعد إجراء العلاج، ومن أهم هذه النصائح ما يلي:
- المتابعة الدورية لمستوى هرمون HCG: من الضروري متابعة مستويات هرمون الحمل (HCG) في الدم بانتظام بعد العلاج للتأكد من عدم وجود أنسجة متبقية أو تحولها إلى حالة سرطانية.
- تجنب الحمل لمدة 6-12 شهر: ينصح بعدم التخطيط للحمل لمدة تتراوح بين 6 إلى 9 أشهر، وأحيانًا حتى عام كامل بعد العلاج لمنح الجسم وقت كافي للتعافي.
- استخدام وسائل منع الحمل الفعالة: يوصى باستخدام حبوب منع الحمل أو وسائل أخرى فعالة لمنع حدوث حمل خلال فترة المتابعة وذلك لتجنب أي تعقيدات صحية.
- تناول الفيتامينات والمكملات الغذائية: يمكن تناول حبوب الفيتامينات المركبة مثل “سنتروم” لتعزيز صحة الجسم وتحسين الخلايا قبل التخطيط لأي حمل قادم.
- الراحة الجسدية والعقلية بعد الإجراءات العلاجية: من المهم منح الجسم الوقت الكافي للتعافي بعد عملية “التوسيع والكحت” أو أي تدخل جراحي آخر مع تجنب الأنشطة الشاقة والاهتمام بالصحة النفسية.
- مراقبة الأعراض غير الطبيعية: يجب الإبلاغ عن أي نزيف مهبلي غير منتظم، أو ألم شديد في البطن، أو علامات على انتشار المرض مثل السعال أو الصداع المستمر لأن هذه قد تكون مؤشرات على انتقال الحالة إلى ورم مشيمي.
- الالتزام بالعلاج إن لزم الأمر: في بعض الحالات التي تتطلب العلاج الكيميائي، يجب الالتزام الكامل بالخطة العلاجية تحت إشراف طبي دقيق.
احجز استشارتك الان في مركز صحة المرأة بمستشفى الموسى التخصصي.
طرق الوقاية من الحمل العنقودي
الحمل العنقودي هو حالة غير طبيعية من الحمل تنتج عن خلل وراثي أثناء الإخصاب، ولا يمكن الوقاية منه بشكل كامل، لكن هناك بعض التدابير التي قد تساعد في تقليل خطر حدوثه أو على الأقل اكتشافه مبكرًا والتعامل معه بفعالية، ومن أهم طرق الوقاية ما يلي:
- استخدام وسائل منع الحمل الفعالة: يفضل استخدام وسائل منع الحمل الموثوقة خلال فترة التعافي بعد العلاج لتجنب حدوث حمل غير مرغوب فيه قد يؤدي إلى مضاعفات.
- الكشف المبكر خلال الحمل: إجراء فحوصات مبكرة مثل السونار وتحليل هرمون HCG يمكن أن يساعد في اكتشاف الحمل العنقودي في مراحله الأولى، مما يسمح بالتدخل الطبي السريع.
- الإقلاع عن العادات الضارة: تجنب التدخين وشرب الكحول وممارسة نمط حياة صحي يمكن أن يحسن الصحة الإنجابية العامة ويقلل من خطر حدوث مضاعفات أثناء الحمل.
ما هي مضاعفات الحمل العنقودي
الحمل العنقودي قد يؤدي إلى عدة مضاعفات صحية خطيرة إذا لم يتم تشخيصه وعلاجه مبكرًا، سواء على الأم أو من حيث احتمالية تحول الحالة إلى سرطانية، ومن أهم المضاعفات المرتبطة بالحمل العنقودي ما يلي:
- تطور مرض الأرومة الغاذية الحملي (GTD): وهو حالة تتميز بنمو غير طبيعي لخلايا المشيمة، وقد يشمل ذلك خلل التنسج الغاذي الحملي المستمر (GTN) الذي قد يتطلب علاج كيميائي أو جراحي.
- تسرطن الحمل العنقودي: في بعض الحالات النادرة ويمكن أن تتحول الأنسجة المتبقية من الحمل العنقودي إلى ورم سرطاني مثل “الورم الليفي المشيمي” مما يستدعي العلاج الكيميائي.
- تكرار الحمل العنقودي: النساء اللواتي تعرضن لحمل عنقودي مرة واحدة يكن أكثر عرضة للإصابة به مرة أخرى في حالات الحمل المستقبلية.
- تسمم الحمل (ما يسمى بتسمم الحمل العنقودي): يظهر على شكل ارتفاع في ضغط الدم، وجود البروتين في البول وقد يصاحبه تشنجات أو اضطرابات في الكبد أو الكلى، خاصة إذا استمر الحمل لفترة أطول.
- فرط نشاط الغدة الدرقية المؤقت: نتيجة الارتفاع الكبير في هرمون HCG قد تعاني بعض النساء من أعراض مثل تسارع ضربات القلب، قلة وزن، والعصبية الزائدة.
- نزيف مهبلي حاد: قد يحدث نزيف شديد خلال الثلث الأول من الحمل، ويكون لونه بني داكن أو أحمر فاتح، وقد يكون مصحوبًا بنسيج يشبه عنقود العنب.
- الإجهاض التلقائي أو الإخلاء الطبيعي للرحم: في بعض الحالات قد يتم طرد الأنسجة العنقودية من الرحم بشكل تلقائي لكن هذا لا يعني عدم الحاجة للمتابعة الطبية.
- مشاكل نفسية وعاطفية: نتيجة فقدان الحمل واحتمال الخوف من التكرار أو السرطنة، قد تتأثر الحالة النفسية للأم بشكل كبير، لذا ينصح بتقديم الدعم النفسي المناسب.
كيفية سير الحمل العنقودي
الحمل العنقودي يبدأ بخلل وراثي أثناء الإخصاب ويؤدي إلى نمو غير طبيعي لخلايا المشيمة دون وجود جنين حقيقي، ثم تتكون أكياس تشبه عناقيد العنب داخل الرحم، وقد تظهر أعراض مثل نزيف مهبلي وارتفاع كبير في هرمون الحمل، ويتم تشخيصه عبر السونار وتحليل HCG ويعالَج غالبًا بالتوسيع والكحت أو أحيانًا استئصال الرحم، وبعد العلاج تتم المتابعة الدقيقة لتجنب المضاعفات ولا ينصح بالحمل لمدة 6-12 شهر.
أهم الأدوية المتعلقة بالحمل العنقودي
الحمل العنقودي لا يعالج بالأدوية بشكل رئيسي لكن في بعض الحالات النادرة التي تتضمن بقايا أنسجة أو تحول الحالة إلى ورم ليفي مشيمي، لذا يستخدم العلاج الكيميائي، ومن أهم الأدوية المرتبطة بالحمل العنقودي ما يلي:
- الميثوتركسات (Methotrexate): يستخدم لعلاج الحالات التي تتحول فيها بقايا الحمل العنقودي إلى ورم ليفي مشيمي أو مرض الأرومة الغاذية الحملي (GTD) ويساعد هذا الدواء في قتل الخلايا المشيمية المتبقية.
- أدوية العلاج الكيميائي الأخرى: في حالات المقاومة أو الفشل في الاستجابة للميثوتركسات، وقد يستخدم علاج كيميائي مركب يتضمن أدوية مثل إيتامستين أو أكتينوميسين تحت إشراف طبي دقيق.
الاسئلة الشائعة:
كم شهر يستمر الحمل العنقودي؟
الحمل العنقودي لا يستمر مثل الحمل الطبيعي ويتم إنهاؤه مبكرًا إما بشكل تلقائي أو عبر تدخل طبي، وعادة يكتشف خلال الأشهر الأولى من الحمل، ويحتاج المريض إلى متابعة لمدة 6 أشهر إلى عام للتأكد من عدم وجود بقايا أنسجة أو مضاعفات.
هل يعيش الجنين في الحمل العنقودي؟
لا يعيش الجنين في الحمل العنقودي حيث لا يتكون جنين حي ففي الحمل العنقودي الكامل لا توجد أنسجة جنينية على الإطلاق، وفي النوع الجزئي قد تتكون أجزاء من الجنين لكنها غير قابلة للحياة.
كيف يبان الحمل العنقودي؟
يظهر الحمل العنقودي عبر أعراض مثل نزيف مهبلي غير طبيعي، وغثيان شديد، ونمو سريع للرحم، وقد يشاهد نسيج يشبه عناقيد العنب يخرج من المهبل، كما يشخص عبر السونار الذي يكشف عن أكياس في الرحم دون وجود جنين.
كيف أعرف أن حملي سليم بدون سونار؟
يمكنك الاطمئنان على صحة حملك بدون سونار من خلال استمرار أعراض الحمل مثل غثيان، قيء، وألم في الثديين، بالإضافة إلى متابعة مستوى هرمون HCG في الدم لتأكيد نمو الحمل بشكل طبيعي.
وفي الختام فإن الحمل العنقودي حالة طبية تحتاج إلى متابعة دقيقة وتشخيص مبكر لتجنب أي مضاعفات قد تهدد صحة المرأة، ورغم أنه قد يسبب القلق في البداية إلا أن التعامل السريع معه والعلاج المناسب يساعدان في التعافي التام واستعادة الصحة بشكل كامل، ومن المهم أن تكون السيدة على دراية بأعراض هذه الحالة وتتابع مع الطبيب المختص في حال ظهور أي علامات غير طبيعية لأن الاكتشاف المبكر يلعب دورًا كبيرًا في الحماية وتفادي المشاكل المحتملة.
المصادر
Molar Pregnancy – clevelandclinic
Molar pregnancy – nhs