خراج الاسنان ليس مجرد ألم موضعي، بل هو مؤشر على وجود عدوى بكتيرية نشطة قد تُهدد صحة الفم، وقد تمتد إلى مناطق أخرى من الجسم إذا تُرك دون علاج.
يُعد من أكثر الحالات شيوعًا في طب الأسنان، ويُصيب مختلف الأعمار، من الأطفال إلى كبار السن، في هذا المقال، نقدم لك دليلًا شاملًا حول خراج الأسنان، يشمل أنواعه، أسبابه، أعراضه، طرق العلاج، المضاعفات المحتملة، والوقاية، بالإضافة إلى خدمات مجموعة الموسى الصحية في التعامل مع هذه الحالات بدقة وسرعة.
ما هو خراج الأسنان؟
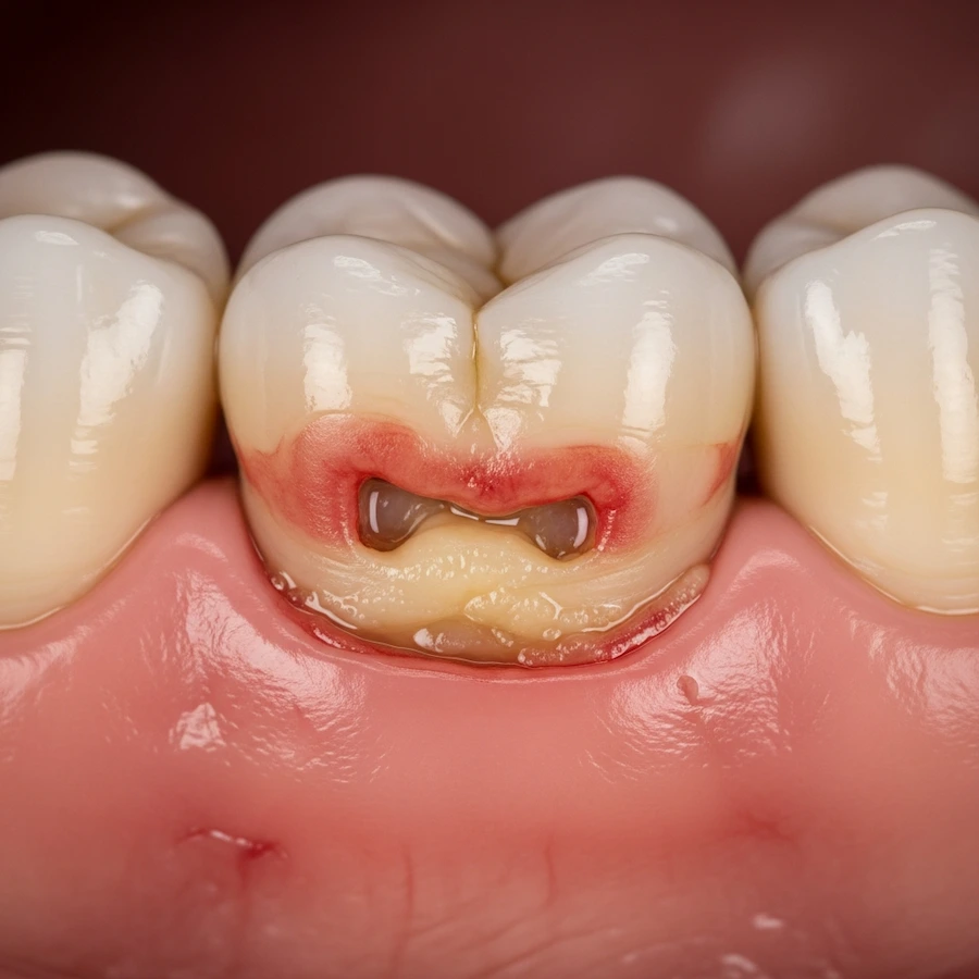
خراج الأسنان هو تجمع من القيح (الصديد) ناتج عن عدوى بكتيرية تصيب السن أو الأنسجة المحيطة به. يتكوّن نتيجة دخول البكتيريا إلى اللب الداخلي للسن أو إلى اللثة، مما يُحفّز الجسم على إنتاج خلايا مناعية تُكوّن هذا التجمع الصديدي. يُعد الخراج حالة طبية طارئة في بعض الحالات، خاصة إذا صاحبته أعراض عامة مثل الحمى أو تورم الوجه.
أنواع خراج الأسنان
|
النوع |
الموقع | السبب الرئيسي |
|
خراج قمي (Periapical) |
في قمة جذر السن |
تسوس عميق أو كسر يسمح للبكتيريا بالدخول إلى اللب |
|
خراج لثوي (Periodontal) |
في اللثة بجانب جذر السن |
التهاب اللثة أو أمراض دواعم السن |
| خراج حول التاج | حول تلبيسة أو تاج صناعي |
تركيب غير محكم أو تراكم البكتيريا |
التشخيص الدقيق يُساعد في تحديد نوع الخراج واختيار العلاج المناسب.

أعراض خراج الأسنان
تُعد الأعراض التالية من العلامات التحذيرية التي تُشير إلى وجود خراج في الأسنان، وتتطلب تدخلًا طبيًا سريعًا:
- ألم نابض في السن أو الفك.
- تورم في اللثة أو الوجه.
- احمرار أو انتفاخ حول السن المصاب.
- خروج قيح أو طعم كريه في الفم.
- حساسية شديدة للحرارة أو الضغط.
- صعوبة في فتح الفم أو البلع.
- حمى أو ارتفاع في درجة الحرارة.
إذا ظهرت هذه الأعراض، يُنصح بمراجعة الطبيب فورًا لتجنّب المضاعفات.
اقرأ ايضًا: تسوس الاسنان اللبنية
المضاعفات المحتملة إذا تُرك الخراج دون علاج
إذا لم يُعالج خراج الأسنان في الوقت المناسب، يمكن أن تتفاقم العدوى وتنتشر إلى مناطق أوسع من الفم، مما يؤدي إلى مضاعفات خطيرة تشمل ما يلي:
- انتشار العدوى إلى الفك أو الرقبة.
- تكوّن خراجات متعددة تحت الجلد أو في العظم.
- فقدان السن المصاب.
- التهاب في العظام المحيطة (Osteomyelitis) .
- التهاب في الجيوب الأنفية أو العين.
- في حالات نادرة: تعفن الدم (Sepsis) الذي يُهدد الحياة.
ترك الخراج دون علاج قد يُحوّله من مشكلة موضعية إلى خطر عام على الصحة.

طرق علاج خراج الأسنان
- تصريف الخراج: يُفتح الخراج لتصريف القيح وتخفيف الضغط، ويُستخدم التخدير الموضعي لتقليل الألم أثناء الإجراء.
- علاج العصب (في حالة الخراج القمي): يتضمن إزالة اللب المصاب وتنظيف القنوات، ثم حشوها لمنع تكرار العدوى، وقد يُركّب تاج لحماية السن لاحقًا.
- المضادات الحيوية: تُوصف في حالات انتشار العدوى أو وجود أعراض عامة، لكنها لا تُغني عن التصريف أو العلاج الموضعي.
- خلع السن (في الحالات المتقدمة): إذا كان السن غير قابل للترميم، يُزال لتجنّب انتشار العدوى
يُحدّد الطبيب العلاج المناسب حسب نوع الخراج، موقعه، وحالة المريض العامة.
الوقاية من خراج الأسنان
للوقاية من خراج الاسنان هناك بعض الخطوات التي يفضل اتباعها:
- تنظيف الأسنان مرتين يوميًا بمعجون يحتوي على الفلورايد.
- استخدام خيط الأسنان أو الفرشاة بين الأسنان.
- زيارة طبيب الأسنان دوريًا للفحص والتنظيف.
- علاج التسوس أو التهابات اللثة مبكرًا.
- تجنّب تناول السكريات بكثرة.
- التأكد من جودة التركيبات السنية مثل التلبيسات أو الجسور.
- الوقاية تبدأ من العناية اليومية، وتنتهي بالمتابعة الطبية المنتظمة.
الفرق بين خراج الأسنان وخراج اللثة
الفروقات التشريحية والسببية
- خراج الأسنان (القمي): ينشأ في قمة جذر السن نتيجة عدوى بكتيرية تصل إلى اللب السني، غالبًا بسبب تسوس عميق أو كسر يسمح للبكتيريا بالتغلغل داخل السن.
- خراج اللثة (السطحي أو حول الجذر): يتكوّن في الأنسجة المحيطة بالسن، نتيجة التهاب اللثة أو أمراض دواعم السن، دون أن يصل إلى لب السن نفسه.
تأثير النوع على خطة العلاج
- الخراج القمي يتطلب علاجًا داخليًا للسن، مثل علاج العصب أو الخلع في الحالات المتقدمة.
- الخراج اللثوي يُعالج غالبًا بتنظيف عميق للجيوب اللثوية، تصريف القيح، واستخدام مضادات حيوية موضعية أو فموية، دون الحاجة إلى تدخل في بنية السن.
متى يُشير خراج اللثة إلى أمراض دواعم السن؟
- إذا تكرّر الخراج اللثوي أو ظهر في أكثر من موقع، فقد يكون مؤشرًا على التهاب مزمن في دواعم السن.
- في هذه الحالة، يُوصى بإجراء فحص شامل للجيوب اللثوية، وتصوير إشعاعي لتقييم مستوى العظم الداعم للأسنان.

كيف تتكوّن العدوى البكتيرية داخل السن؟
دخول البكتيريا إلى اللب السني
- يبدأ الأمر غالبًا بتسوس غير معالج يخترق طبقة المينا والعاج، ويصل إلى اللب السني الغني بالأعصاب والأوعية الدموية.
- في حالات أخرى، قد تسمح الكسور أو الحشوات غير المحكمة للبكتيريا بالتسلل إلى الداخل.
دور جهاز المناعة في تكوين القيح
- عند دخول البكتيريا، يُرسل الجسم خلايا مناعية لمحاربتها، مثل الكريات البيضاء.
- نتيجة هذه المعركة، تتكوّن سوائل التهابية وصديد (قيح)، يتراكم في منطقة مغلقة، مما يُسبب ضغطًا وألمًا شديدًا.
لماذا لا تكفي المضادات الحيوية وحدها؟
- المضاد الحيوي لا يستطيع اختراق الخراج بشكل فعّال بسبب ضعف تدفق الدم في المنطقة المصابة.
- لذلك، يُعد تصريف الخراج أو علاج العصب هو الحل الأساسي، بينما تُستخدم المضادات كدعم في حالات انتشار العدوى أو وجود أعراض عامة.
خراج الأسنان عند الأطفال: الأسباب والعلاج
علاقة التسنين أو التسوس المبكر بالخراج
- أثناء التسنين، قد يُصاب الطفل بتسوس سريع بسبب ضعف المينا اللبنية وسوء العناية الفموية.
- إذا تُرك التسوس دون علاج، قد يصل إلى اللب السني ويُسبب خراجًا قميًا.
- أيضًا، التهابات اللثة الناتجة عن اللعاب الزائد أو العضّ المستمر قد تُسبب خراجًا سطحيًا.
كيف يُمكن للأهل اكتشافه مبكرًا؟
- انتفاخ في اللثة أو الوجه
- بكاء مستمر دون سبب واضح
- رفض الطعام أو الرضاعة
- خروج قيح أو رائحة كريهة من الفم
- ارتفاع طفيف في الحرارة
يُنصح بمراجعة طبيب الأسنان فور ظهور هذه العلامات، خاصة إذا كان الطفل في مرحلة التسنين أو لديه تاريخ من التسوس.
طرق العلاج المناسبة للأطفال دون خلع السن
- تصريف الخراج بلطف تحت تخدير موضعي.
- علاج العصب اللبني (إذا أمكن الحفاظ على السن) .
- استخدام مضادات حيوية مناسبة لعمر الطفل.
- متابعة دورية لضمان شفاء كامل.
- توعية الأهل بأهمية تنظيف الأسنان اللبنية منذ ظهورها.
اقرأ ايضًا: نصائح للأطفال للمحافظة على الأسنان وتعزيز صحتها منذ الصغر

العناية المنزلية بعد علاج خراج الأسنان
علاج خراج الأسنان لا ينتهي عند التصريف أو علاج العصب، بل يبدأ بعدها دور المريض في الالتزام بالعناية المنزلية لضمان الشفاء الكامل ومنع تكرار العدوى.
ماذا يفعل المريض بعد التصريف أو علاج العصب؟
- الالتزام بالراحة في أول 24 ساعة بعد الإجراء.
- تجنّب لمس المنطقة المصابة أو الضغط عليها.
- استخدام الكمادات الباردة لتخفيف التورم (إذا أوصى الطبيب بذلك).
- تناول الأدوية الموصوفة بدقة، خاصة المضادات الحيوية ومسكنات الألم.
- الحفاظ على نظافة الفم دون إيذاء المنطقة المعالجة.
تعليمات التغذية والتنظيف وتجنّب المضاعفات بعد علاج خراج الأسنان
التغذية:
- تناول أطعمة طرية وسهلة المضغ مثل الحساء، الزبادي، البطاطس المهروسة.
- تجنّب الأطعمة الساخنة جدًا أو الباردة جدًا.
- الامتناع عن الحلويات والمشروبات الغازية خلال فترة التعافي.
- شرب الماء بكثرة لدعم الدورة الدموية والمناعة.
التنظيف:
- استخدام فرشاة ناعمة وتجنّب المنطقة المصابة في الأيام الأولى.
- المضمضة بمحلول ملحي فاتر (إذا أوصى الطبيب).
- تجنّب الغرغرة القوية أو استخدام غسول فموي يحتوي على كحول.
- عدم استخدام خيط الأسنان في المنطقة المصابة حتى يُسمح بذلك.
الوقاية من المضاعفات:
- عدم التدخين أو تناول الكحول.
- تجنّب بذل مجهود بدني شديد أو الانحناء لفترات طويلة.
- مراقبة أي علامات غير طبيعية مثل زيادة التورم أو خروج قيح جديد.
متى يجب العودة للطبيب؟
- إذا استمر الألم أو التورم لأكثر من 3 أيام بعد العلاج.
- في حال ظهور حمى أو صعوبة في البلع أو التنفس.
- إذا لاحظ المريض خروج قيح جديد أو رائحة كريهة مستمرة.
- لمتابعة الجلسات العلاجية مثل تركيب التاج بعد علاج العصب.
- لإجراء تصوير إشعاعي للتأكد من شفاء الجذر والعظم المحيط.
المتابعة الطبية جزء أساسي من العلاج، وليست خيارًا ثانويًا.
تعرف علي كيفية اختيار عيادات الأسنان المتخصصة
مجموعة الموسى الصحية: رعاية دقيقة لحالات خراج الأسنان
في مجموعة الموسى الصحية، نُقدّم خدمات متكاملة لعلاج خراج الأسنان تشمل:
- فحص شامل باستخدام التصوير الرقمي ثلاثي الأبعاد.
- تشخيص نوع الخراج بدقة لتحديد خطة العلاج.
- تصريف آمن وسريع للقيح باستخدام أدوات معقّمة.
- علاج العصب باستخدام تقنية. CAD/CAM لضمان الدقة.
- وصف المضادات الحيوية المناسبة حسب الحالة.
- متابعة دورية لضمان شفاء كامل ومنع تكرار العدوى.
- تقديم إرشادات وقائية للمريض بعد العلاج.
لا تؤجّل علاج خراج الأسنان
احجز موعدك اليوم، وتخلّص من ألم الخراج بخبرة طبية وتقنية حديثة.
الخراج ليس حالة تُحتمل أو تُؤجّل. التدخل المبكر يُجنّبك المضاعفات، ويُحافظ على صحة فمك وجودة حياتك. في مجموعة الموسى الصحية، نُقدّم لك رعاية دقيقة تشمل التشخيص، العلاج، والمتابعة، بخبرة طبية وتقنيات حديثة.
لا تنتظر حتى يتفاقم الألم، احجز موعدك اليوم مع مجموعة الموسى الصحية، وابدأ رحلة التعافي بثقة وجودة عالية.
الأسئلة الشائعة حول خراج الأسنان
هل يمكن أن يختفي خراج الأسنان دون علاج؟
لا، قد يهدأ الألم مؤقتًا، لكن العدوى تبقى نشطة وقد تتفاقم لاحقًا.
هل خراج الأسنان يُسبب رائحة فم كريهة؟
نعم، بسبب وجود القيح والبكتيريا، وقد يُلاحظ طعم كريه أيضًا.
هل يمكن أن يعود الخراج بعد العلاج؟
نعم، إذا لم يُعالج السبب الجذري مثل التسوس أو التهاب اللثة.
هل خراج الأسنان يُصيب الأطفال؟
نعم، خاصة إذا كان هناك تسوس عميق أو ضعف في العناية الفموية.
هل يؤثر خراج الأسنان على الصحة العامة؟
نعم، في حال انتشار العدوى، قد يُسبب مضاعفات خطيرة مثل التهاب العظام أو تعفن الدم.